レントゲンとCT撮影を通じて正確な神経線の位置や筋肉の形まで考慮し、手術方法を診断します。顎の先の幅と長さを患者が望む形にデザインします。
結局はすべてきれいなフェイスラインのための手術法です。顔面輪郭整形の経験が豊富なソウル大学医学博士が理想的な顔の比率を診断し、熟練した技術と繊細な感覚で患者さん一人ひとりに合わせて手術します。


手術時間
:
1時間~1時間30分
麻酔方法
:
全身麻酔
通院治療
:
1~2回
回復期間
:
7日後
顎先手術
顎先手術は顎の形によって手術方法が変わります。
T字切りで真ん中の骨を除去し、顎先の幅を寄せ、正面から確実な効果が得られます。

手術前

手術後3ヵ月

手術前

手術後3ヵ月

顎先の幅によって縮小量を調節したデザイン

口内切開を通して顎先骨を切除後削除

残った両方の骨を再配置し顎先の幅縮小

骨を固定した後、横の顎骨は滑らかに切除
水平切骨で真ん中の骨を除去し、顎先の長さは短くし、エラは滑らかに削り、顎が小さくなった効果が得られます。

手術前

手術後4ヵ月

手術前

手術後4ヵ月

長さを短くするため横向きに骨削除

下の骨を上に持ち上げ顎先の長さ縮小

骨を固定した後、横の顎骨は滑らかに切除
広い顎を狭めながら骨を下に移動させ、長さを伸ばし、短い顎を矯正し、シュッとしてはっきりしたフェイスラインに作ります。

手術前

手術後1ヵ月

手術前

手術後4ヵ月

顎骨を伸ばす長さと縮ませる幅をデザイン

切った骨を削除せず、顎下の方に再配置し、長さ延長

残った骨の上に両サイドの骨をのせて固定し幅を縮小

張っている横の顎骨を滑らかに切除 *回復過程で空っぽの空間に骨が生えてきます。
顎先を水平に切った後、前の方に移動させ固定し、側面からでなく、正面からでもはっきりする効果が得られます。

手術前

手術後7ヵ月

手術前

手術後7ヵ月

顎先を水平に切骨

顎先骨を前の方に移動させ固定
ABソリューション
正面からもシュッとした顔型が希望の場合は顎先とエラ手術を並行することがよろしいです。 個人の顎の形と好みによる様々な切骨法で綺麗な顎の形を作ります。

ゴツゴツして滑らかでない顎ライン

滑らかでシュッとしているように見える顎ライン

正面効果が足りない顎ライン

正面、側面からも全てシュッとした顎ライン
顎先とエラの複合手術で段差のない 滑らかな顎ラインと横の顎が広く見える現象のないシュッとした顔を作ります。
顎先手術、ABが選ばれる理由
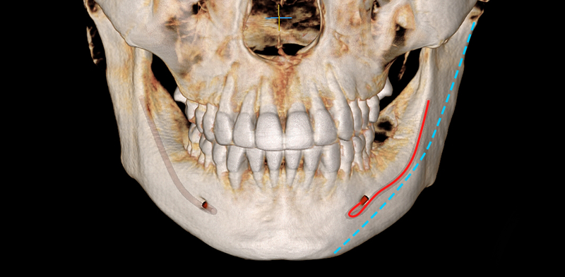
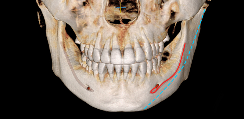
3D-CTによる神経線経路把握後、切骨範囲を計画し神経線を避けて切除

エラ縮小術を一緒に行い、段差のない滑らかな顎ラインへ

顔のバランスを考慮し、顎先の長さと位置、形を調節するため個人の顎の形に合わせてカスタマイズ手術を行う。
正面

手術前
8ヵ月後
45度

手術前
8ヵ月後
側面

手術前
8ヵ月後
顎先手術とエラ手術を一緒に行い、側面・正面からもシュッとして自然なフェイスライン

手術前

6ヵ月後

手術前

5ヵ月後
効果、安全、美しさどれ一つも逃さないから 顔骨手術に対する多様なノウハウを持っている専門医が最適の結果を導き出します。

顎先手術アフターケア

医療用LED治療装備を通して 手術後の傷跡を回復し 腫れ、痣緩和にも役立ちます。

超音波を利用し 皮膚細胞の活性を促進させ 皮膚を鎮静、再生します。

高周波エナジーを皮膚の奥まで伝達し 血液及びリンパ循環を促進させ 素早い回復に役立ちます。

素早い回復のため直接制作した ABだけのホームケアキットを提供し ご自宅でも体系的なケアが可能です。
スマートルックス
口内抜糸
スマートルックス
スマートルックス LDM
CT検査
担当医との経過チェック
スマートルックス
高周波管理






輪郭3点[エラ+頬骨+顎先]/額リフト/顔脂肪移植9か月後
多様な安全管理体系の構築を通じて、
患者さんはより安全に手術を受けることができます。

麻酔科専門医が手術中に患者さんをリアルタイムでモニタリングし、中央モニタリングシステムを通じて二度、三度チェックを行います。

手術前、中、後など手術の全過程を専任麻酔科専門医と一緒にリアルタイムで管理します。

安全な手術のために病院内の検査システムを構築しました。これにより、総合的な手術前検査を行うことができます。

様々な安全管理システムによって、患者さんが安心して手術を受けられるようにしています。
*日曜日と祝日は休診です。