Surgical Information
下眼瞼
Recommend Target
- 1. 目の下脂肪がふっくらとしていて疲れてみえ、意地悪な印象の場合
- 2. 目の下たるみが酷く老け顔に見える場合
- 3. 目の下ハリがなくシワだけある場合
- 4. クマがある場合
手術時間
:
1時間程度
麻酔方法
:
極小又は睡眠麻酔
通院治療
:
2~3回
回復期間
:
5~7日後
下眼瞼
ハリのある童顔に見える目のポイントは人為的で不自然な感じがなく自然で滑らかでハリのある目の下を作ることです。
AB下眼瞼は目の下のたるみ具合、皮膚と筋肉の弾力具合、皮膚の厚さなど個人によって違う目の下の状態を精密に診断し、 適切な量の目の下の脂肪、皮膚を除去し眼輪筋を固定させ弾力のある生き生きした滑らかな童顔の目の下に改善させます。

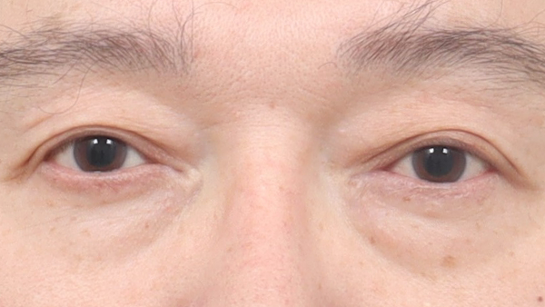
手術前

手術後1週目

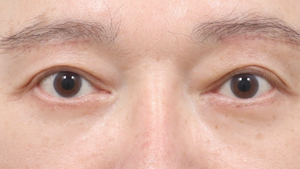
手術前

手術後2週目
手術方法

01. 最小切開
最小切開で眼輪筋神経保存

02. 脂肪除去又は再配置、隔膜強化

03. 眼輪筋を引っ張って固定
弛んだ眼輪筋を引っ張り、垂直で固定し、中顔面部のリフティング効果、涙袋生成

04. 残った余裕皮膚切除後縫合
皮膚の余裕分を考慮し、正確に切除後縫合、眼瞼外販予防
下眼瞼手術はやりすぎないよう注意が必要です。
矯正強度が強いと下の眼瞼が外側にひっくりめくる眼瞼外販が発生し、不自然な目つきになる場合があります。
ABでは適切な量の皮膚と脂肪除去で副作用のない自然で童顔に見える目つきを完成させ傷跡と腫れ、あざを最小化し素早い日常生活への回復が可能です。
1. 適切な皮膚、脂肪組織除去
ABは個人の目の下状態に合う皮膚、脂肪組織の量だけ正確に除去し、自然で滑らかな目の下を完成させます。 自然に残る涙袋は人為的でない印象を作ります。

手術前

手術後1週目

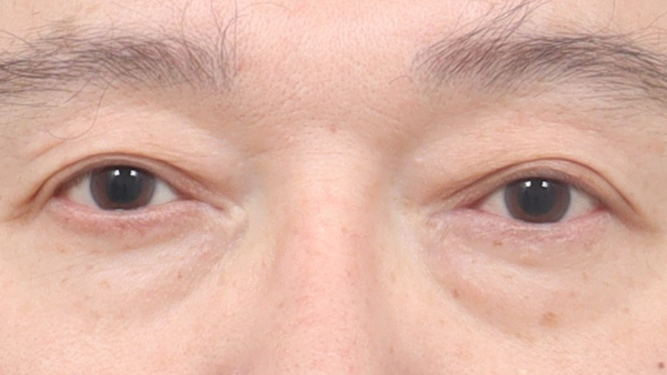
手術前

手術後1週目
2. 少ない傷跡と少ない腫れ、アザ
下まつ毛のライン及び最小切開と個人の目の状態にあう適切な皮膚、脂肪組織除去で 手術傷跡と腫れ、あざが少なくほとんど目立たないため素早く日常生活へ回復が可能です。

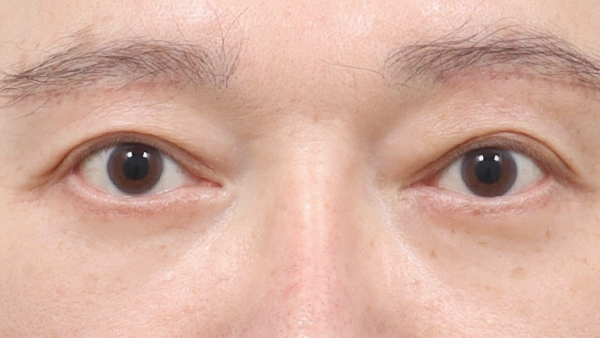
手術前

手術後1週目

手術前

手術後1週目
しかし、こういった目なら下眼瞼よりミニ下眼瞼をオススメします。
目の下弾力低下が 酷くない場合
目の下のたるみが原因の 目の下脂肪が多い場合
目の下脂肪の量が 多い場合
目の下切除術が 負担に感じる場合
ミニ下眼瞼は下眼瞼とは違い、たるんだ皮膚の切除なく、目の内側の結膜を切開し目の下脂肪を除去する手術です。
目の下脂肪の量が過度に多くて老けて見える場合、筋肉と皮膚の状態によってミニ下眼瞼で目の下を改善できます。
ミニ下眼瞼手術方法

01. 手術前

02. 傷跡が見えないように目の内側の結膜を微細切開

03. 過度な目の下脂肪を凹んでいる部位に滑らかに再配置

04. 弛んだ眼窩隔膜を引っ張り、パンパンと復元後、固定・縫合

05. 手術後

手術前

手術後1ヵ月目

手術前

手術後1週目
ABのメリット
下眼瞼、ABが選ばれる理由
1. 人為的な印象NO 自然な印象OK
AB下眼瞼は無理やり手術を行わないため人為的で不自然な印象でなく自然な印象に若返ります。

手術前

手術後1ヵ月目
2. 几帳面で精巧な縫合、すっぴんでも目立たない傷跡
手術切開線を隙間なく几帳面で繊細に縫合し、デコボコしている傷跡を最小化します。

手術前

手術後1週目
3. たるみ再発を最小化できるABの技術力
弛んだ皮膚と脂肪を適切に除去し、弛んだ眼輪筋を垂直に引っ張り上げて丈夫に固定し、 弛んでふっくらとしている目の下の根本的な原因を解決し、目の下たるみ再発を最小化します。
手術前

手術後1週目

手術後1ヵ月目

4. 疲れて老けて見える目つき改善
老化により弾力を失った目の下の皮膚と筋肉でできる深い涙嚢溝、黒いクマ、目の下シワなど 老化の痕跡を効果的に改善し、弾力のある生き生きした童顔の目つきを作ります。

手術前

手術後1ヵ月目

手術前

手術後1ヵ月目
5. 個人に合わせた中年の目の下ソリューション
全般的に目と目の下の状態を精密に診断し1:1手術計画を樹立した後、手術を行い、 副作用のない満足のいく手術結果を作ります。
目の下たるみ程度
目の下皮膚、筋肉組織 弾力程度
皮膚の厚さ
目の下脂肪の量
目の形
BEFORE&AFTER 内視鏡額リフトの術前後
額リフト
安全システム
各種安全管理体制の構築により、患者様がより安全に施術を受けられる環境を整えています。

専属麻酔科医
施術中、麻酔科専門医がリアルタイムでモニタリングし、中央監視システムによる二重・三重チェックを行います。

麻酔中のリアルタイムモニタリング
施術前・中・後の全プロセスを、専属麻酔科医がリアルタイムで管理します。

施術前の安全な検査
より安全な施術のため、院内検査体制を整え、総合的な術前検査を実施しています。

最高水準の安全設備
各種安全管理体制の構築により、患者様が安心して安全に施術を受けられる環境を整えています。






















