手術時間
:
1時間程度
麻酔方法
:
局所または睡眠
来院治療
:
2~3回
回復期間
:
5~7日後
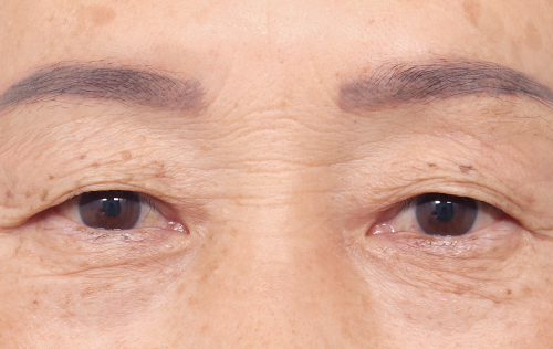
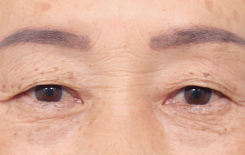
上眼瞼
手術方法








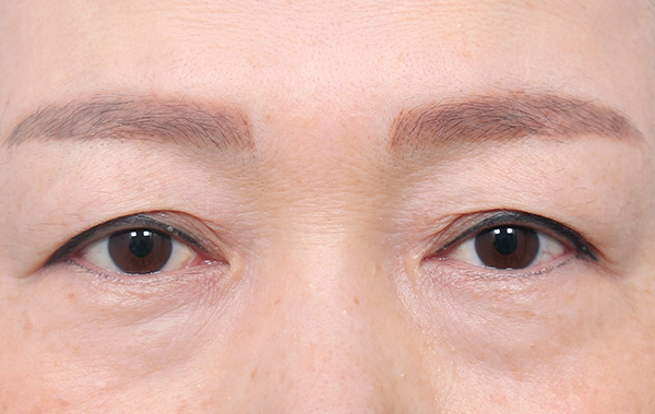
手術前

手術1週間後

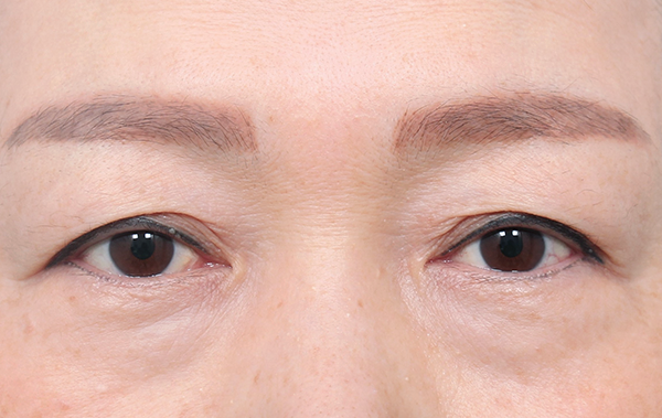
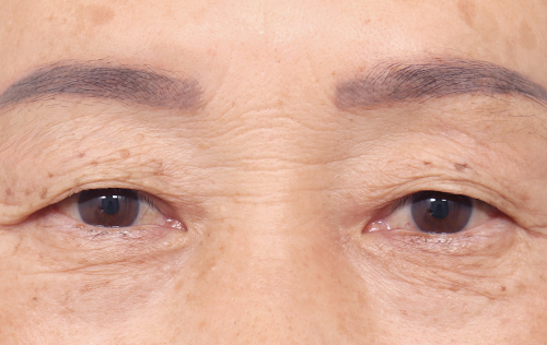
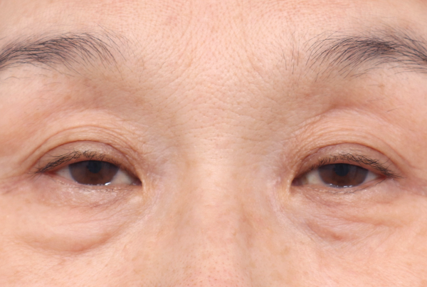
手術前

手術1カ月後
上眼瞼手術はきつい人相にならないように気を付けなければなりません。
中年の目を過度に手術した場合には、人工的だったり怖く見えるので執刀医の熟練した技術やノウハウが重要です。
ABは自然二重の原理を利用した上眼瞼手術法、適切な目つき矯正の強度調整や組織除去、傷跡を残さない技術力で自然で綺麗な目を目標に手術をします。
自然二重の原理
目を開けたら二重の筋肉が肌に沿って折りたたまれてできる自然二重の原理

AB上眼瞼 手術法
自然二重のように結膜を皮膚層に浅く固定してラインを作るABだけの上眼瞼手術法

皮膚や脂肪を過度に除去すると人為的で険しい目元になります。 ABは目の状態に合う適切な量の皮膚、脂肪、筋肉を除去して滑らかで自然な目元を完成させます。

適切な量の瞼の皮膚、脂肪、筋肉除去

派手なラインと 目元の完成
AB上眼瞼は目つき矯正強度を適切に調整して固定するので傷跡が残りません。 目を瞑っても手術後が残らないので自然で柔らかい人相を作ります。

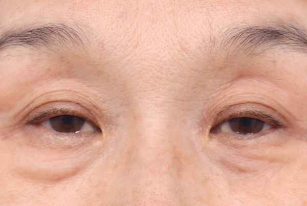
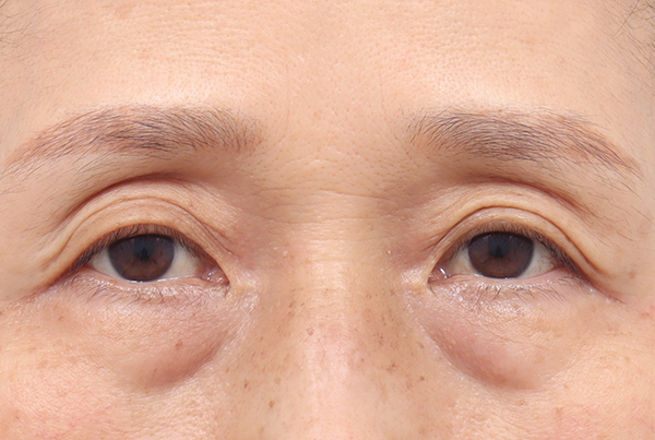
手術前

手術後1か月

手術後1か月

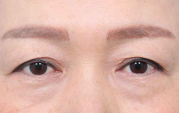
手術前

手術後1か月

手術後1か月
ただ中年の目が絶対に上眼瞼というわけではありません。
上眼瞼手術不適切ケース
眉毛のたるみがひどく 目と眉毛の間隔が近い目
目を開ける力が弱く、 眼瞼下垂がある目
上眼瞼手術のみ行うケース
目と眉の間隔がさらに近くなり、 不自然で怖い印象になる可能性
まぶたが黒目を隠して 更に眠く見える人相になる可能性
中年の目複合ソリューション
眉毛挙上術、額挙上術を適切に並行して、 たるんだ中年の目を改善

手術前

手術後3か月

手術前

手術後3か月
上眼瞼、ABの理由
目と筋肉(結膜)固定強度を適切に調節してラインを丈夫に固定して 傷跡のない解けない長続きする手術結果を提供します。

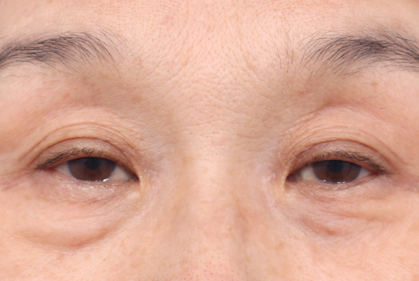
手術前
二重全体がたるんで 上眼瞼手術が必要な目

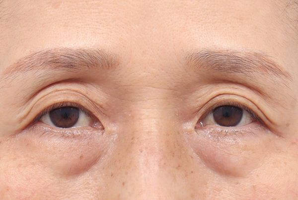
手術後1か月
丈夫に固定して1か月目でも 解けず維持する自然なライン

手術後6か月
適切な筋肉固定強度を調整して 6か月目にも傷跡のないライン
AB上眼瞼は垂れた瞼によってできた目の美的問題と同時に機能的問題も同時に改善します。

目頭と目尻のたるみによって三角形に変化した目
手術前

正常的な形で肌のシワも改善
2カ月後

目を閉じる力が弱く、黒目の多くが隠れている目
手術前

目を開ける力が強化され、はっきりした目つきで視野の隠れを改善
1週間後
3. 絶え間ない研究と論文発表
手術満足度と効果を高めるために新しい整形技術を研究発表し、持続的な学会・研究活動を展開して高度化した専門性を持ったAB技術力




ABは手術前の状態を精密に診断して分析し、過剰な診療なく必要な手術だけ計画します。






上眼瞼手術/目尻切開/垂れ目形成/ミニリフト/額リフト/額縮小/脂肪移植2か月後
多様な安全管理体系の構築を通じて、
患者さんはより安全に手術を受けることができます。

麻酔科専門医が手術中に患者さんをリアルタイムでモニタリングし、中央モニタリングシステムを通じて二度、三度チェックを行います。

手術前、中、後など手術の全過程を専任麻酔科専門医と一緒にリアルタイムで管理します。

安全な手術のために病院内の検査システムを構築しました。これにより、総合的な手術前検査を行うことができます。

様々な安全管理システムによって、患者さんが安心して手術を受けられるようにしています。
*日曜日と祝日は休診です。